Mjeku Gëzim Xhepa publikon imazhet: Koronavirusi ka qenë në Shqipëri që prej 15 janarit
Koronavirusi ka qenë prezent në Shqipëri që prej datës 15-20 janar. Kështu pretendon mjeku Gëzim Xhepa referuar disa imazheve pulmore të pacientëve që kanë qenë të shtruar në Infektiv në këto data.
Imazhet e publikuara nga mjeku i njohur Gëzim Xhepa, janë evidentuar nga kolegu i tij imazherist Renato Osmani.
Xhepa ka publikuar fotot që tregojnë praninë e koronavirusit që në mesin e muajit janar.
Postimi i mjekut Gezim Xhepa
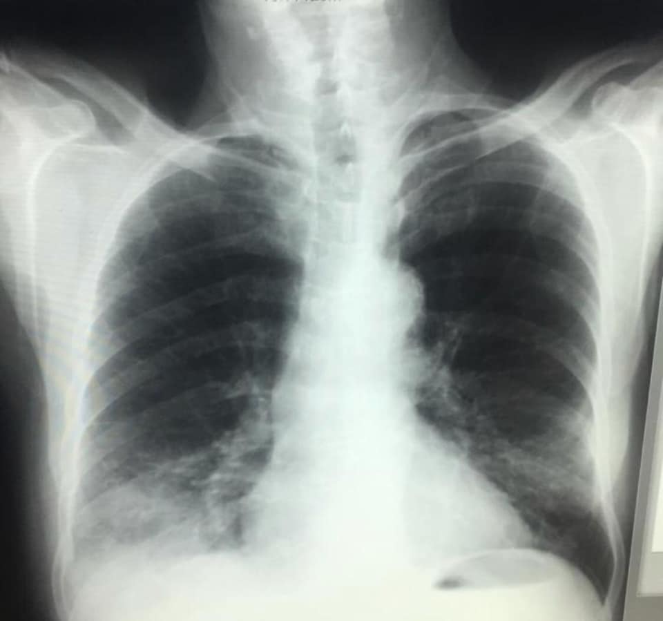
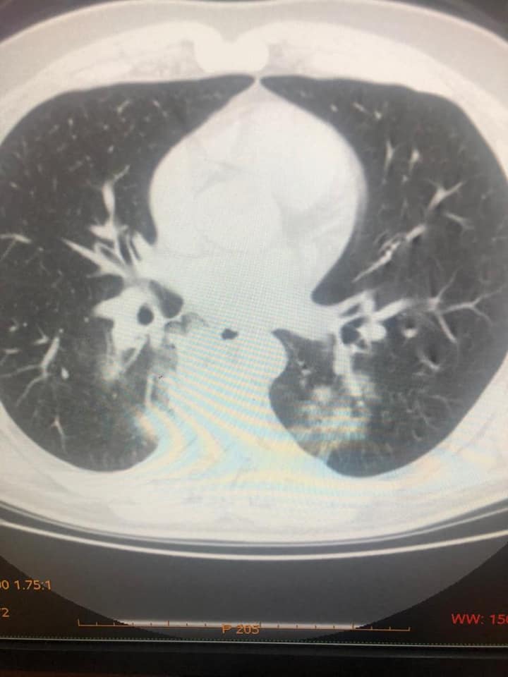
IMAZHET E JANARIT QË FLASIN PËR PREZENCËN E COVID-19 NË SHQIPËRI QË NË KËTË PERIUDHË
Të nderuar miq…!!! Ndonëse prej 6 javësh në median vizive dhe të shkruar, kam hedhur hipotezën dhe argumentet e tërthorta logjike për praninë e coronavirusit në Shqipëri që në muajin shkurt dhe kalimin e pikut të epidemisë para vendosjes së karantinës, gjithnjë më është kërkuar nga skeptikë argumenti faktik, për të cilin kam tre javë që i kërkoj departamentit të imazhërisë të fillojë hulumtimin e imazheve pulmonare të epidemisë Janar – Shkurt 2020…!
Sot, falë mikut dhe kolegut tim të nderuar Dr. Renato Osmani…, imazhëristit që ishte i pari, që javën e parë pas zbulimit të të ashtuquajturit rast 0, identifikoi fizionominë dhe identitetin imazhërik pulmonar të COVID-19… dhe potencën e ekzaminimit CT ndër ekzaminimet e skemës bazë për diagnostikim dhe përcaktim prognose…, mu ofruan imazhe të pakundërshtueshme të prezencës së COVID-19 në datat 15 – 20 janar, në disa raste në Infektiv…!!!
Dhe s’kishte si të ndodhte ndryshe, kur duam s’duam ne, për komunikimet e ngushta dhe lëvizjet e shumta njerëzore me Italinë e Veriut, Shqipëria mund të kosiderohet lagje e Milanos…!!!
Tani i takon Komitetit të Teknik të marrë serizisht këto fakte, për përcaktimin e një strategjie të qartë dhe të shpejtë zhbllokuese, për kalimin nga izolimi në distancim, duke kthyer në normalitet brenda një edukate distancimi jetën sociale, ekonomike dhe shëndetësore në vend…!!!
Faleminderit Dr. Renato…, jo vetëm për menaxhimin pa panik, por me vigjilencë të situatës së karantinës, nëpërmjet centarlizimit dhe koordinimit nacional imazhërik për suspektim sa më të hershëm të sëmundjes dhe prevenimin e kaosit, që mund të kish shkaktuar strategjia e gabuar e numrit 127…, por edhe për ndihmën që po jep për Komitetin Teknik për konfuzionin në pritjen e pikut epidemiologjik…!!! Po ju ofroj pamjet imazhërike të pesë rasteve, duke ju kujtuar që janë pronë intelektuale e Dr. Renato Osmani dhe i publikoj me aprovimin e tij, duke mbrojtur të drejtën e tij të aitorit…!!!
KOHA JONË SONDAZH





